Bunion Specialist in Chicago, IL
Experiencing foot or ankle discomfort and looking for an orthopedic specialist? Head over to Suburban Orthopaedics. Our qualified team is dedicated to relieving your pain and enhancing your well-being.
What Should I Know About Foot Pain and Bunions?
A bunion is a bone and soft tissue deformity between the big toe and the first metatarsal bone, also known as the metatarsophalangeal (MTP) joint. This condition is primarily hereditary but can be aggravated by wearing tight or ill-fitting shoes. Over time, the misalignment causes the big toe to lean toward the second toe, creating a prominent bump. The surrounding tendons and ligaments often become tight, weak, or inflamed, leading to pain, swelling, and difficulty walking.
For more information on bunion removal, read our patient education handout.
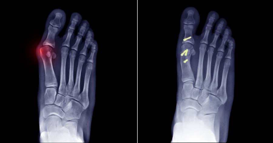
What is a Bunionectomy?
A bunionectomy is a surgical procedure designed to remove the bony bump and realign the joint, alleviating pain and improving foot appearance. Various techniques for bunion correction are tailored to each patient’s unique needs. These procedures are performed in a hospital or outpatient setting, with the choice of general or local anesthesia. At Suburban Orthopaedics, we work closely with you to determine the most suitable approach for your condition.
How is a Bunionectomy Performed?
The procedure involves an incision over the affected area to expose the MTP joint. The surgeon removes the bunion and, in most cases, performs an osteotomy, where a wedge of bone is removed to correct the alignment of the toe. To maintain the new alignment, screws, pins, or plates are often used. Additionally, tendons or ligaments may be lengthened or shortened to ensure optimal joint function. Once the repairs are complete, the incision is closed with sutures, and the foot is carefully bandaged.
Recovery and Results from Bunion Surgery
After surgery, patients typically experience pain and swelling, which can be managed by elevating the foot and avoiding weight-bearing activities for one to two weeks. A surgical boot or shoe is often used for several weeks to protect the foot during healing. Sutures are usually removed within two weeks, and additional hardware, if non-permanent, may be removed later. To prevent stiffness, your physician may recommend gentle foot and toe exercises. Most patients achieve significant or complete pain relief and an improved foot appearance, allowing them to resume normal activities.
Why Choose Suburban Orthopaedics for Your Bunionectomy?
Suburban Orthopaedics offers expert care for bunion correction, combining advanced surgical techniques with personalized attention. Our expert team focuses on delivering long-lasting relief and improved mobility for every patient. Whether you seek pain relief or aesthetic improvement, our specialists are here to help you take the first step toward better foot health.
Orthopedic Bunion Treatment With Suburban Orthopaedics
If you are struggling with foot pain or discomfort caused by bunions, the experts at Suburban Orthopaedics are ready to help. Foot pain caused by bunions can interfere with your daily life. Book an appointment online today.
Request an Appointment
At Suburban Orthopaedics, our providers are here to help you. Set up an appointment today.
